info@drnabi.com 02188873135

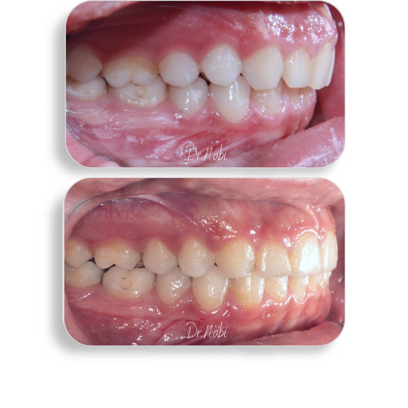
بیمار خانم 16 ساله ای بودند که به علت همپوشانی عمودی بیش از حد فک بالا و پایین همچنین نامرتبی دندانها مراجعه کردند. درمان با ارتودنسی نامرئی انجام شد و به نتیجه ای که مشاهده می کنید رسیدیم.

اول ارتودنسی یا اول جراحی بینی؟؟ برای کسب اطلاعات بیشتر اینجا کلیک کنید

درمان دیپ بایت با ارتودنسی نامرئی

نام مشتری
: خان م-ش
سرویس
: ارتودنسی نامرئی
تاریخ شروع
: Sep 08, 2020
تاریخ پایان
: Jul 12, 2021
وضعیت
: Completed
0 آیتم ها
تومان 0