بازگشت یا عود نتایج ارتودنسی بسیار شایع است و ممکن است بسیاری از بیماران پس از اتمام دوره درمان ارتودنسی با آن مواجه شوند. خیلی از بیماران از برگشت نتایج ارتودنسی خود بسیار ناراحت هستند و دنبال بر طرف کردن آن میباشند. گاها فکر میکنند که درمان اصولی برای آنها انجام نشده ولی باید خاطر نشان کرد که در بسیاری از موارد خود بیمار مراقبتهای بعد از پایان دوره را به خوبی انجام نمیدهد.
بسیاری از بیماران تصور میکنند که با برداشتن ارتودنسی درمان آنها کاملا به اتمام رسیده است که اصلا اینطور نیست. درمان ارتودنسی به هر روشی که انجام شود شامل یک بخش فعال و یک بخش غیر فعال میباشد.
بخش فعال: انجام ارتودنسی و رسیدن به نتیجه مطلوب
بخش فعال درمان است. بعد از برداشتن ارتودنسی حفظ نتایج درمان بسیار مهم است.
بخش غیر فعال: حفظ نتایج درمان بخش غیر فعال
ارتودنسی است که پس از برداشن ارتودنسی به آن وارد میشویم و جزو جدایی ناپذیری از درمان ارتودنسی است. این بخش شامل استفاده
از نگهدارنده های ارتودنسی میباشد که در ادامه توضیح خواهم داد. استفاده از نگهدارنده های بعد درمان ارتودنسی و
چک آپ های دوره ای تحت نظر دندانپزشک ارتودنسی موجب حفظ نتایج درمان می شود.
بعد از برداشتن ارتودنسی دندانپزشک معالج شما با توجه به شرایط دندانی که دارید یک نگهدارنده ارتودنسی برای شما تجویز میکند. که از حرکت دندانهای شما بعد از برداشتن ارتودنسی جلوگیری میکنند. نگهدارنده در دو مدل ثابت و متحرک ساخته میشوند.
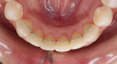
نگهدارنده ثابت: این نوع نگهدارنده به پشت دندانهای جلویی چسبانده میشود و به صورت دائمی برای حفظ موقعیت دندانها استفاده میشود. وقتی از این مدل نگهدارنده ها استفاده میکنید پرهیز از خوردن غذاهای سفت که موجب جدا شدن نگهدارنده از دندان میشود بسیار مهم است. همچنین وجود این نگهدارنده ممکن است موجب گیر غذایی شود که نیاز به رعایت بهداشت بیشتری دارد.

نگهدارنده متحرک: این نگهدارنده یک پلاک نازک شفاف است که به جلوگیری از حرکت دندانها به موقعیت قبلی کمک میکنند. نگهدارنده ها معمولاً به مدت حداقل یکسال به صورت تمام وقت و سپس فقط در شب برای 12 ساعت استفاده می شوند. نگهدارنده ها برای خوردن، آشامیدن و مسواک زدن دندان ها برداشته می شوند.

پاسخ به این سوال به
ناهنجاری دندانی که تحت درمان قرار گرفته بستگی دارد ولی به طور کلی
نوجوانان باید تا رسیدن به
سن 25 سالگی و رویش کامل دندان عقل از نگهدارنده استفاده کنند.
در بزرگسالان معمولا پیشنهاد
میشود حداقل 3 سال از نگهدارنده استفاده کنند.
در نهایت در این مورد با
پزشک خود مشورت کنید شاید با توجه به شرایط دندانی شما دستور العمل دیگری برای شما
در نظر داشته باشند.
- طبیعی
است که دندان ها بخواهند به جایی که بودند برگردند. حتی اگر به مدت دو سال از ارتودنسی استفاده کرده باشید، دندان های شما حافظه طولانی
دارند. حرکت دندان ها ممکن است بلافاصله پس ازبراداشتن ارتودنسی اتفاق بیفتد یا
سال ها طول بکشد.
- تغییر
دندان ها به عنوان بخشی از روند پیری اتفاق می افتد. آنها به سمت جلوی دهان حرکت می
کنند، به ویژه دندانهایی که در فک پایین قرار دارند، که می تواند باعث شلوغی، سایش
و مشکلات زیبایی شود.
- رویش دندان عقل در نوجوانان یکی دیگر از علل
جابجای دندانها و وارد کردن نیرو به سایر دندانها است.
- تغییرات
در سلامت لثه و استخوان ممکن است بر ثبات موقعیت دندان شما تأثیر بگذارد. بهداشت
نامناسب دهان و دندان می تواند روی قرارگیری دندان ها تأثیر بگذارد، به خصوص اگر
تغییرات قابل توجهی در وضعیت سلامتی شما ایجاد شود، شرایطی مانند دیابت، مشکلات
هورمون تیروئید، پوکی استخوان.
- دندان
قروچه (براکسیسم) در شب می تواند باعث آسیب و حرکت دندان شود. استفاده از محافظ شب
هنگام خواب به محافظت از دندان ها کمک می کند.
شایع ترین
علت نامرتبی دندان ها پس از درمان ارتودنسی زمانی است که بیمار از نگهدارنده
استفاده نمی کند. و تنها راه برای اطمینان از حرکت نکردن دندان ها
این است که آنها را با نگهدارنده ها، ثابت یا متحرک در جای خود نگه دارید.
مراجعه منظم به دندانپزشک ارتودنسی برای بررسی
وضعیت دندانها و ریتینرها و اعمال کارهای لازم به جلوگیری از بازگشت کمک میکند. مشاوره
منظم و پیگیری پس از درمان نیز به کاهش احتمال بازگشت نتایج کمک میکند و اطمینان
از حفظ موقعیت جدید دندانها را فراهم میآورد.
مراقبت دقیق از دندانها و لثهها شامل مسواکزدن
و استفاده از نخ دندان میتواند از بیماریهای لثه و تغییرات ناخواسته در موقعیت
دندانها جلوگیری کند.
اجتناب از غذاهای سفت و چسبنده که ممکن است باعث
آسیب به ریتینرها یا دندانها شوند، حیاتی است.
همانطور که مطالعه کردید احتمال برگشت درصدی از نتایج
ارتودنسی میتواند به عوامل مختلفی بستگی داشته باشد، از جمله استفاده از نگهدارندهها، سن بیمار، رعایت بهداشت و...
پس با پیروی دقیق دستورات دندانپزشک ارتودنسی و مراقبتهای لازم، میتوان پایداری و دوام نتایج درمان ارتودنسی را تا حد زیادی تضمین کرد. همیشه در نظر داشته باشید که برای داشتن یک درمان موفق ارتودنسی همکاری بیمار با دندانپزشک معالج بسیار تاثیر گزار خواهد بود.
امیدوارم با خواندن این مقاله
برای مشاهده عوارض انجام ندادن ارتودنسی اینجا کلیک کنید
August 06, 2024 - توسط مدیر