ارتودنسی ثابت برای کسایی مناسبه که میخوان مشکلات جدی دندونها و فکشون رو اصلاح کنن و دنبال نتیجه دقیق و پایدار هستن. این روش با براکت و سیم، دندونها رو مرحله به مرحله جابهجا میکنه و برای مواردی که نیاز به کنترل دقیق حرکت دندونها دارن عالیه.
کاندیدای مناسب ارتودنسی ثابت از نظر مشکلات دندان و فک
ارتودنسی ثابت برای کسایی مناسبه که مشکلات دندون و فکشون جدیه و دنبال درمان دقیق و کنترل شده هستن. اینجا چند نمونه از کیسهایی که بیشتر به ارتودنسی ثابت نیاز دارن رو توضیح میدم:
وقتی دهانتو میبندی دندونای جلویی فک بالا بخش زیادی از دندونای فک پایین رو میپوشونن. این باعث میشه دندونها سریعتر ساییده بشن، گاهی درد فک داشته باشی و لبخندت کمی نامتقارن دیده بشه.

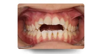
وقتی دندونای جلویی فک بالا و پایین روی هم نمیشینن و بینشون فاصله باقی میمونه، حتی وقتی دهانتو میبندی. جویدن سخت میشه و ظاهر لبخند هم بهم میریزه.

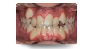
وقتی دندونها خیلی نامرتب هستن و چرخشهای شدید دارن. تمیز کردن دندون سخت میشه و احتمال پوسیدگی و مشکلات لثه بالا میره.

برخی نامرتبیها اونقدر شدیده که بدون کشیدن چند دندون، دندونها جایی برای درست جا گرفتن ندارن. با کشیدن، فضای کافی ایجاد میشه و بقیه دندونها منظم و سر جای درستشون قرار میگیرن.
برخی مشکلات فکی و دندونی اونقدر جدیه که نیاز به ارتودنسی و جراحی فک داره. ارتودنسی ثابت تو این کیسها نقش آمادهسازی دندونها رو داره تا جراحی راحتتر و نتیجه دقیقتر باشه. نمونههاش اینا هستن:
1- کلاس ۲ (Overjet زیاد)
وقتی فک بالا خیلی جلوتر از پایین باشه، میگیم کلاس ۲. این مشکل ظاهر لبخند رو تغییر میده، دندونای جلو سریعتر ساییده میشن و جویدن سختتر میشه. در موارد شدید، ارتودنسی ثابت قبل از جراحی فک، دندونها رو آماده میکنه تا بعدش جراحی راحتتر انجام بشه.

2- کلاس ۳ (Underbite)
وقتی فک پایین جلوتر از بالا باشه، میگیم کلاس ۳. این مشکل روی جویدن، ظاهر لبخند و سلامت دندونها اثر میذاره. اگر شدت مشکل کلاس ۳ به جوری باشه که نیاز به ارتو سرجری باشه، ارتودنسی ثابت دندونها رو مرتب و آماده میکنه تا جراحی دقیق و راحت باشه.

3- نامتقارنی شدید فک
وقتی شکل فک خیلی نامتقارن باشه، احتمال ارتو سرجری هست. ارتودنسی ثابت مثل آمادهسازی دندونها قبل جراحی عمل میکنه و باعث میشه جراحی راحتتر و نتیجه پایدارتر باشه.

وقتی دندون نیش درست تو قوس دندونها قرار نگرفته و بیرون زده، یا از بالای لثه در اومده، ظاهر لبخند بهم میریزه و ممکنه فشاری روی دندونای کناری بیاره. ارتودنسی ثابت میتونه دندون نیش رو مرحله به مرحله جا بندازه و با بقیه دندونها هماهنگ کنه.

دندونی که هنوز از لثه بیرون نیومده و تو استخون فک گیر کرده، دندون نهفته حساب میشه. گاهی اوقات اغلب با ارتودنسی ثابت میشه تا دندون نهفته درست سر جای خودش بیاد.

در این شرایط با درمان ارتودنسی ثابت، نتیجه دقیق و پایدار میگیری و حرکت دندونهات کنترل شدست.
نکته: اگه نامرتبی دندونهات خفیف تا متوسطه و مشکل فکی نداری، و دنبال یه روش ظریفتر هستی که کمتر معلوم باشه، میتونی درباره ارتودنسی نامرئی هم اطلاعات کسب کنی.
کاندیدای مناسب ارتودنسی ثابت از نظر رفتار و همکاری
- میتونن بهداشت رو مرتب رعایت کنن و براکتها و سیمها رو تمیز نگه دارن
- آماده هستن هر چند هفته یه بار برای تنظیم براکتها مراجعه کنن
- صبر و همکاری لازم برای یک درمان طولانی مدت دارن
- به توصیه های دندانپزشک گوش میدن و پروسه درمان رو جدی میگیرن
کاندیدای مناسب ارتودنسی ثابت از نظر سلامت دهان و دندان
- لثه ها سالم باشه و التهاب یا بیماری نداشته باشن
- دندونها منظم و بدون پوسیدگی شدید باشن
- ایمپلنتهای متعدد نداشته باشن، چون حرکت دندونها و کنترل براکت رو سخت میکنه
- سلامت کلی، دهان فک و استخوان مناسب باشه تا درمان بدون مشکل پیش بره
کاندیدای مناسب ارتودنسی ثابت از نظر سن
- ارتودنسی ثابت معمولا از حدود ۱۲ سالگی به بعد قابل انجامه؛ یعنی زمانی که رویش دندونهای دائمی کامل میشه. از این سن به بعد، اگه شرایط دندون و فک مناسب باشه، میشه درمان ارتودنسی ثابت رو شروع کرد.
- بزرگسالان هم در هر سنی میتونن ارتودنسی انجام بدن، به شرطی که لثه و دندونها سالم باشن و بیماری فعال لثه یا مشکل جدی تحلیل استخوان نداشته باشن. ارتودنسی ثابت محدودیت سنی نداره و فقط مختص نوجوانان نیست.
اگر فکر میکنی ارتودنسی ثابت میتونه گزینه مناسبی برات باشه، بهترین کار اینه که معاینه حضوری با دکتر نبی انجام بدی.
تو جلسه مشاوره مشخص میشه:
- واقعا کاندیدای ارتودنسی ثابت هستی یا نه
- نیاز به کشیدن دندون داری یا نه
- احتمال جراحی فک وجود داره یا نه
- مدت درمان و مسیر درست کارت چیه
برای تصمیم درست، حدس و گمان کافی نیست؛ مشاوره با دکتر نبی همه چیز رو روشن میکنه.
رزرو نوبت مشاوره حضوری
واتساپ
02188873135 - 02188873136 - 09912806784
اگه نامرتبی دندان یا مشکل فکی داری و نتیجه دقیق و پایدار میخواهی، احتمال زیادی کاندید ارتودنسی ثابت هستی. تشخیص نهایی فقط با معاینه تخصصی مشخص میشود.
بیشتر مشکلات مثل شلوغی شدید، دیپبایت، اپنبایت، نیش خارج از قوس و دندان نهفته با ارتودنسی ثابت قابل درمان است.
در بسیاری از موارد بله؛ مخصوصا در کیسهای شدید، ارتودنسی ثابت دندانها را آماده میکند و در صورت نیاز قبل از جراحی فک انجام میشود.
معمولا بله؛ کیسهای پیچیده با ارتودنسی ثابت کنترل دقیقتر و نتایج قابل پیشبینیتری دارند.
در اغلب موارد بله؛ ارتودنسی ثابت بهترین روش برای قرار دادن نیش خارج از قوس در موقعیت صحیح است.
در بسیاری از موارد با ارتودنسی ثابت و گاهی جراحی کوچک میتوان دندان نهفته را به محل صحیح هدایت کرد.
بله؛ در صورت نیاز به کشیدن دندان، ارتودنسی ثابت کنترل بهتری برای بستن فضا و مرتبسازی فراهم میکند.
در بیشتر موارد بله؛ خصوصا در شدتهای بالا یا در صورت احتمال جراحی فک.
تقریبا همیشه بله؛ ارتودنسی ثابت دندانها را برای جراحی فک آماده میکند.
بله؛ محدودیت سنی ندارد، به شرط سلامت لثه و دندانها.
از حدود ۱۲ سالگی به بعد تا هر سنی در صورت سلامت لثه و دندانها امکانپذیر است.
ابتدا باید بیماری لثه درمان شود؛ پس از کنترل، در بسیاری موارد ارتودنسی ثابت امکانپذیر است.
بستگی به تعداد و محل ایمپلنت دارد؛ ایمپلنت حرکت نمیکند اما در بسیاری کیسها درمان قابل انجام است.
خیر؛ سلامت لثه، وضعیت دندانها و همکاری بیمار تعیینکننده مناسب بودن درمان است.