مکیدن شست یک عادت طبیعی و آرامش بخش برای نوزادان و کودکان نوپا است. مکیدن انگشت به عنوان یک حس محافظتی در هنگام نگرانی یا استرس عمل می کند، زیرا این عادت به آنها یک تجربه آرامش بخش می دهد. آنها همچنین تمایل دارند وقتی احساس شادی می کنند انگشت شست خود را بمکند.
در حالی که اکثر کودکان این عادت را در دوران کودکی خود ترک می کنند، برخی دیگر تمایل دارند این عادت را برای مدت طولانی تری حفظ کنند. اگر این عادت برای مدت طولانی ادامه پیدا کند، ممکن است اثرات منفی بر روی نظم دندانها و رشد فک کودک بگذارد. این عادات می تواند با رشد صورت و فک تداخل داشته باشد و باعث تغییرات اسکلتی و دندانی شود که منجر به انواع مختلف مال اکلوژن (بایت بد) می شود.
مکیدن شست در صورتی که در سنین 5 تا 6 سالگی ادامه یابد، می تواند تاثیر بیشتری داشته باشد. در این مرحله، بسیار مهم است که سعی کنید این عادت را قبل از اینکه منجر به آسیب به دندانهای دائمی و فک کودک شما شود، ترک شود. در غیراین صورت طول درمان عوارض ناشی از مکدین انگشت شست بسته به سن کودک، نوع ناهنجاری، شدت عوارض ایجاد شده در دندان ها و فکین، زوایای فکین و غیره ممکن است بین 2 تا 4 سال متغیر باشد.
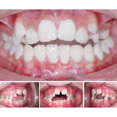
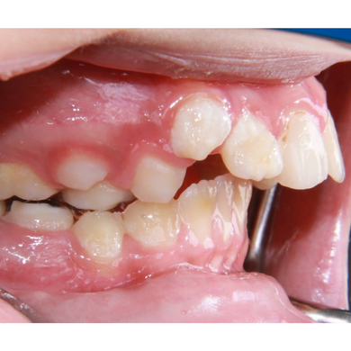
دندان های جلویی بیرون زده یکی از عوارض آن است. مکیدن انگشت شست به پشت دندان های جلویی فشار وارد می کند که ممکن است باعث کج شدن یا بیرون آمدن آنها شود. دندان های جلویی بیرون زده بیشتر در معرض آسیب هستند و می توانند باعث مشکلات گفتاری شوند، همچنین ممکن است بستن راحت لب ها و دهان را دشوار کنند.

مکیدن شست پتانسیل ایجاد اپن بایت به دلیل جابجایی دندان ها از حضور شست در دهان را دارد. زمانی که فک بسته است و دندانهای بالایی روی دندانهای پایینی خود همپوشانی نداشته باشند عارضه اپن بایت اتفاق افتاده است. در برخی موارد، دندان ها به هیچ وجه با هم تماس ندارند و فاصله بین قوس بالا و پایین باقی می ماند. اپن بایت می تواند باعث مشکلات گفتاری، بلع و جویدن شود. این کودکان ممکن است در تلفظ حروفی مانند س، ش، ص، ض، ط، ظ، ز، ل و ر نیز دچار مشکل شوند.

مکیدن مداوم انگشت شست می تواند بر رشد فک پایین کودک شما و موقعیت استخوان فک تأثیر بگذارد و منجر به مشکلی شود که حتی برای رفع آن نیاز به جراحی فک باشد.

تغییر شکل فک بالا (تنگی فک بالا) به دلیل اینکه وقتی کودک شست خود را می مکند، موقعیت زبان پایین می آید و فشار بیشتری بر فک ایجاد می کند یکی دیگر از عوارض است. این افزایش فشار مکرر می تواند منجر به تغییرات قابل توجهی در فک بالا شود که سقف دهان را بلندتر و باریک تر می کند.

کراس بایت خلفی نیزدر نتیجه باریک شدن قوس فک بالا ممکن است ایجاد شود. کراس بایت زمانی است که برخی از دندان های بالایی در داخل دندان های پایینی قرار می گیرند. کراس بایت نه تنها می تواند منجر به درد فک و سایش مینا شود، بلکه بیماران اغلب با جابجایی فک خود به یک طرف آن را جبران می کنند که می تواند باعث انحراف فک نیز شود.

تغییرات در الگوهای تنفسی، مشکلات تنفسی و تنفس دهانی کودک شما اگرچه ممکن است زیاد قابل توجه نباشد ولی از دیگر مسائلی است که ایجاد می شود. به دلیل ایجاد تنگی فک بالا و سقف دهان بلندتر مجرای سینوسی و همچنین ساختار بینی تحت تأثیر قرار می گیرد در نتیجه تنفس را با مشکل مواجه می کند و ممکن است باعث ایجاد تنفس دهانی گردد.
از آنجایی که مکیدن شست باعث تغییر شکل فک کودک می شود، ممکن است منجر به برخی تغییرات غیر طبیعی در ساختار صورت کودک نیز شود.
کودکانی که شست خود را می مکند، به دلیل قرار گرفتن مداوم دهان در معرض باکتری ها، در معرض خطر بیشتری برای عفونت هستند. این کودکان معمولاً زودتر از کودکانی که عادت مکیدن شست را ترک می کنند، با آنتی بیوتیک ها آشنا می شوند.
کودک خود را به خاطر مکیدن انگشت شستش سرزنش و تنبیه نکنید زیرا ممکن است باعث ایجاد استرس و دلیلی برای مکیدن بیشتر شست شود. به او کمک کنید راه دیگری برای مقابله با استرس پیدا کند. سعی کنید زمانی که آنها کار خوبی انجام می دهند، آنها را تحسین کنید.

به محرک های مکیدن کودک خود توجه کنید. اگر به طور تصادفی اتفاق افتاد، سعی کنید آنها را در فعالیتی درگیر کنید تا بتوانند از دستان خود استفاده کنند، مانند نقاشی کردن یا بازی گرفتن با توپ. این عادات می توانند ناخودآگاه باشد. ممکن است کودک شما حتی متوجه نباشد که انگشت شست خود را در دهان خود دارد. به خودآگاهی آنها با پرسیدن "هی، آیا می دانستی که شست خود را می مکی؟" کمک کنید.
یک سیستم تشویق تنظیم کنید. به عنوان مثال، از یک نمودار استیکری برای برجسته کردن زمان هایی که کودک شما این عادت را انجام نمی دهد استفاده کنید. وقتی به تعداد مشخصی از استیکرها رسیدند، به آنها جایزه بدهید. یک قسمت اضافی از برنامه مورد علاقه شان، رفتن به پارک، انتخاب محل سفارش غذا برای شام یا هر چیزی که فکر میکنید به کودکتان انگیزه میدهد.
از دندانپزشک خود کمک بخواهید. با یک دستگاه ارتودنسی متحرک میتوان به جلوگیری از مکیدن انگشت کودک کمک کرد. این وسایل از تماس انگشت شست با کام همچنین مکش جلوگیری می کنند که لذت را از بین می برد.

استفاده از محاظ یا دستکش هایی که انگشت شصت را میپوشاند.

آنها را مشغول نگه دارید. اگر کودک مشغول باشد، مکیدن انگشت شست خود را فراموش می کند.
از نوعی محافظ انگشت شست استفاده کنید
اثرات بلندمدت چنین عادتی و آنچه ممکن است به دنبال داشته باشد را برای آنها توضیح دهید. کودکان خردسال ممکن است اثرات منفی مکیدن انگشت شست را درک نکنند، اما کودکان بزرگتر باید از آسیب هایی که این عادت در طولانی مدت ایجاد می کند آگاه باشند.
بله، اگر کودک شما مشکلات دندانی ناشی از مکیدن شست یا استفاده از پستانک دارد، مشکلات را می توان برطرف کرد. توصیه می شود بچهها اولین معاینه ارتودنسی خود را در سن ۷ سالگی انجام دهند.
در این مرحله، کودک شما همچنان در حال رشد است و تعدادی دندان شیری دارد. در صورت نیاز، ما می توانیم از وسایل خاصی برای هدایت رشد فک در طول درمان ارتودنسی فاز 1 استفاده کنیم. پس از یک دوره استراحت(رشد کامل دندانهای دایمی)، کودک شما فاز 2 درمان را با ارتودنسی ثابت شروع میکند.
برای آشنایی با ارتودنسی کودکان اینجا کلیک کنید
September 12, 2022 - توسط مدیر