info@drnabi.com 02188873135
November 18, 2024 - توسط مدیر

ارتودنسی چیست؟

ارتودنسی چیست؟


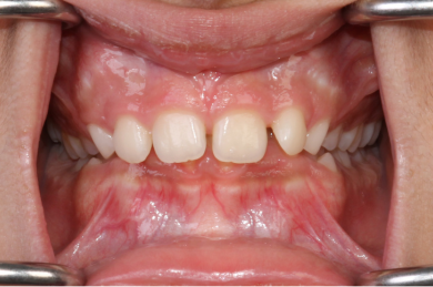
ارتودنسی یک علم دندانپزشکی است که بر روی اصلاح رابطه فکی و صاف کردن دندان های شما متمرکز است. کلمه ارتودنسی ریشه در زبان یونانی دارد. orthos  به معنای صاف و odons به معنای دندان است. ارتودنسی به طور خاص به تشخیص و درمان ناهماهنگی و بی نظمی دندان و فک می پردازد. اگر دندان‌های کج، روی هم و نامرتب دارید یا رابطه فکی شما درست نیست ممکن است نیاز به مراجعه به دندانپزشک ارتودنسی داشته باشید.

هدف از درمان ارتودنسی یک رابطه صحیح فکی است. رابطه فکی درست به معنای دندان‌های صافی است که به خوبی با دندان‌های فک مقابل به هم متصل و جفت می‌شوند. این کار گاز گرفتن، جویدن و صحبت کردن را برای شما آسان تر می کند. تمیز کردن راحت تر، بهداشت دهان و دندان بهتر، گفتار واضح تر، لبخند زیبا تر، جلوگیری از پوسیدگی ، بیماری لثه و سایش بیش از حد دندانها همگی از مزایای آن است.

سال های اخیر تغییرات زیادی در صنعت دندانپزشکی به ویژه در مورد درمان ارتودنسی ایجاد شده است. در حال حاضر بیش از هر زمان دیگری به دلیل آگاهی بیشتر در مورد سلامتی دندانها و ظاهر لبخند ، تمایل برای انجام درمان ارتودنسی افزایش یافته است.  در ابتدا، درمان های ارتودنسی برای درمان نوجوانان و اطفال انجام می شد، اما امروزه حدود 30 درصد از بیماران ارتودنسی را بزرگسالان تشکیل می دهند.


مراحل درمان ارتودنسی چیست؟

اولین قدم برای شروع درمان ارتودنسی معاینه بیمار توسط دندانپزشک ارتودنسی برای تشخیص است. علاوه بر معاینه، مدارک مورد نیاز برای ارتودنسی، عکس او پی جی و لترال سفالومتری برای بررسی زوایای ریشه ها و زوایای فک و صورت- عکسهای فتوگرافی از صورت و دهان- و اسکن داخل دهانی است. بعد از تکمیل مراحل تشخیص، دندانپزشک ارتودنسی با توجه به نیاز شما برنامه درمانی و نوع درمان مشخص میکند . و درمان شما شروع میشود

هنگامی که تشخیص داده می شود، روشهای  مختلفی برای درمان ارتودنسی وجود دارد که عبارتند از:

ارتودنسی ثابت یا به اصطلاح سیمی

انواع مختلفی از ارتودنسی ثابت بسته به نیاز شما وجود دارد، از جمله مدل فلزی، شفاف و سرامیکی. براکت‌های سرامیکی، شفاف یا فلزی روی هر دندان چسبانده می‌شوند و برای اتصال آن‌ها یک سیم کمانی از روی آنها رد می‌شود. . براکت ها، بندها و سیم ها به تدریج دندان های شما را به موقعیت دلخواه حرکت می دهند. سیم هر چند هفته یکبار کمی سفت یا تعویض می شود تا نتایج مطلوب حاصل شود. به طور معمول اتصالات پس از6 الی 24 ماه هنگامی که نتایج مورد نظر حاصل شد برداشته می شوند.




ارتودنسی شفاف یا نامرئی

الاینرهای ارتودنسی شفاف جایگزین محبوبی برای ارتودنسی ثابت هستند. این سیستم‌ به جای استفاده از براکت‌ها و سیم‌ها برای صاف کردن دندان‌هایتان، از یک سری پلاک های شفاف و سفارشی استفاده می‌کند. هر الاینر به مدت یک تا دو هفته استفاده میشود، سپس با شماره بعدی تعویض میگردد. با گذشت زمان، الاینرهای شفاف دندان های شما را به موقعیت مناسب خود حرکت می دهند. به دلیل متحرک بدون در غذا خوردن تداخلی ایجاد نمی کند و ازنظر مکانیکی مانند ارتودنسی ثابت عمل می کند. البته همه بیماران کاندید درمان با ارتودنسی شفاف نیستند.




نگهدارنده ارتودنسی

اگر از ارتودنسی ثابت یا الاینرهای شفاف استفاده می کنید، پس از پایان درمان ارتودنسی به نگهدارنده نیاز خواهید داشت . نگهدارنده یک پلاک سفارشی است که از نامرتب شدن مجدد دندانها پس از درمان ارتودنسی جلوگیری می کند. دندانپزشک ارتودنسی توضیح میدهد که چه مدت برای حفظ نتایج درمان باید از نگهدارنده استفاده کنید.




باز کننده کام

دندانپزشک ارتودنسی برخی از درمان ها را در دوران کودکی یا نوجوانی توصیه می کند. به این دلیل است که استخوان های صورت هنوز در حال رشد هستند و حرکت آنها بسیار آسان تر است. باز کننده  کام به گشاد شدن فک بالایی کمک می کند. اکثر کودکان نیازی به بازکننده کام ندارند. اما در شرایط مناسب، این دستگاه ها می توانند بدون نیاز به کشیدن دندان یا سایر روش ها فضای اضافی ایجاد کنند.




پلاک های متحرک

 طیف وسیعی از پلاک های متحرک وجود دارد که معمولاً در ارتودنسی و درمان اطفال مورد استفاده قرار می‌گیرند، از جمله پلاک فانکشنال که عقب بودن فک پایین را اصلاح می‌کنند و ماسک‌هایی که برای اصلاح عقب بودن فک بالا استفاده می‌شوند.

 



مشکلات رایج ارتودنسی

انواع مشکلات ارتودنسی رایج عبارتند از:

-  دیپبایت، زمانی که دندان های بالایی روی دندان های پایینی شما را زیاد می پوشاند که  این امر معمولا موجب سایش دندانها میشود و حتما باید درمان شود.



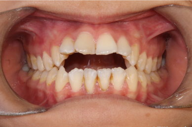
-  اپن بایت، زمانی که دندانهای جلویی فک بالا و پایین هیچ همپوشانی ندارند و بین آنها فاصله است. معمولا بیماران اپن بایت با مشکل گاز گرفتن میوه ها و خوراکیها مواجه هستند.



-  دندان ها روی هم قرار گرفته اند کج و نامرتب هستند. . زمانی رخ می دهد که فضای کافی برای رشد و نمو طبیعی دندان های دائمی وجود نداشته باشد.



-  دندان های نهفته (که به طور جزئی یا کامل در استخوان فک شما گیر کرده اند).



-  فک پایین جلو است یا فک بالا عقب است



 - فک پایین عقب است یا فک بالا جلو است



-  بین دندانها فاصله است


 

چه زمانی باید فرزندم را نزد دندانپزشک ارتودنسی ببرم؟

کودکان باید اولین ویزیت ارتودنسی خود را حداکثر تا سن 7 سالگی انجام دهند. شاید بسیاری از کودکان در این سن نیازی به درمان ارتودنسی نداشته باشند ولی زمان خوبی است تا متوجه شوید آیا مشکلاتی وجود دارد که باید مراقب باشید یا خیر.

مهم است که کودکان و نوجوانان خود را در زمانی که هنوز در حال رشد هستند ارزیابی شوند. درمان زودهنگام ممکن است نتایجی را به همراه داشته باشد که پس از توقف رشد صورت و فک ها امکان پذیر نباشد.


چه زمانی بزرگسالان باید به دندانپزشک ارتودنسی مراجعه کنند؟

هر زمان که در مورد ظاهر، سلامت یا عملکرد دندان های خود نگران هستید، یک وقت مشاوره با دندانپزشک ارتودنسی ترتیب دهید.

رابطه فکی درست در سن 65 سالگی به اندازه 15 سالگی مهم است. حتی اگر بزرگسالان دیگر رشد نمی کنند، می توانند از نتایج حاصل از درمان ارتودنسی لذت ببرند. سن شما برای درمان ارتودنسی در نظر گرفته نمی شود و ارتودنسی محدودیت سنی ندارد. دندان های سالم را می توان در هر سنی حرکت داد.  درمان ارتودنسی یک سرمایه گذاری هوشمندانه است که در سلامت دندان، جسم و روان شما تاثیر بسزایی دارد.

اگر هر یک از این علائم را در فرزندتان یا خودتان تشخیص دادید، ممکن است وقت آن رسیده باشد که با یک دندانپزشک ارتودنسی مشورت کنید.

 - از دست دادن زودهنگام یا دیررس دندان های شیری

-  مشکل در جویدن یا گاز گرفتن

-  تنفس دهانی

-  مکیدن شست یاانگشتان یا سایر عادات دهانی

- دندان های نامرتب و روی هم

- فک هایی که صدا تولید می کنند، بیرون زده یا فرورفته هستند

-  مشکل در گفتار

-  گاز گرفتن گونه

- دندان های بیرون زده

- دندان هایی که به صورت غیر طبیعی به هم می رسند یا اصلا به هم نمی رسند

- عدم تقارن صورت

- ساییدن یا فشردن دندان ها

- ناتوانی در بستن راحت لب ها

- فک پایین جلو است یا فک بالا عقب است

- فک پایین عقب است یا فک بالا جلو است


چه کسانی از ارتودنسی سود می برند؟

تقریباً همه می توانند از ارتودنسی سود ببرند. اما برخی از افراد بیش از دیگران به درمان نیاز دارند. بسیاری از افراد به دلیل بهبود ظاهر لبخند خود به دنبال درمان ارتودنسی هستند. اما علاوه بر مزایای زیبایی، ارتودنسی عملکرد جویدن را بهبود می بخشد و سلامت دهان و دندان را بهتر می کند.


چه کسانی نباید درمان ارتودنسی انجام دهند؟

برای واجد شرایط بودن برای درمان ارتودنسی، نباید مشکلات دندانی جدی مانند پوسیدگی گسترده یا بیماری لثه داشته باشید. قرار دادن ارتودنسی روی دندان ها میتواند این مشکلات را تشدید کند.

اگر پوسیدگی یا بیماری لثه دارید، برای درمان به دندانپزشک مراجعه کنید. هنگامی که آن شرایط را مدیریت کردید، از دندانپزشک خود بپرسید که آیا درمان ارتودنسی برای شما مناسب است یا خیر.

وجود ایمپلنت یا روکشهای متعدد هم ممکن است مانع انجام ارتودنسی شود.


ارتودنسی چقدر طول میکشد؟

شما باید دستورالعمل های درمانی را به دقت دنبال کنید و تا رسیدن به هدف خود صبور باشید. برای برخی افراد، درمان ارتودنسی کمتر از یک سال طول می کشد. برای دیگران، ممکن است تا دو سال یا بیشتر طول بکشد. از آنجایی که هر فردی نیازهای منحصر به فرد خود را دارد، زمان درمان برای هر شخص بسته به نوع ناهنجاری متفاوت است. حتما قبل از درمان از با دندانپزشک ارتودنسی انتظار خورد را از درمان مطرح کنید تا با توجه به شرایط شما طول درمان حدودی به شما اعلام شود.

مدت زمان واقعی درمان به طور معمول به مدت زمان پیشبینی شده نزدیک است اما ممکن است به علت رشد غیر قابل پیشبینی یا همکاری ناکافی بیمار طولانی تر شود. بنابراین تغییر در برنامه درمان یک امر طبیعی است.


مزایای ارتودنسی چیست؟

مزایای زیبایی ارتودنسی واضح است. اما این درمان ها مزایای عملکردی و مرتبط با سلامتی را نیز ارائه می دهند:

- هنگامی که دندان های شما مرتب هستند، تمیز کردن آنها بسیار آسان تر است.

- صاف کردن دندان ها می تواند عملکرد جویدن و گفتار را بهبود بخشد.

درمان ارتودنسی می تواند درد مربوط به اختلال مفصل فکی یا TMJ را کاهش دهد .

- درمان ارتودنسی با مرتب کردن دندانها می تواند خطر پوسیدگی، بیماری لثه و سایر مشکلات سلامت دهان را کاهش دهد.

- ارتودنسی می تواند به شما در دستیابی به لبخند زیبا و سالم کمک کند.


معایب ارتودنسی چیست؟

اگر اطراف دستگاه های ارتودنسی خود را به طور کامل تمیز نکنید، خطر ایجاد  پوسیدگی  و التهاب لثه درطول درمان افزایش میابد. حتما توصیه های بهداشت دهان و دندان دندانپزشک ارتودنسی خود را رعایت کنید.

دهان بخش حساسی است به همین خاطر انتظار می رود که در اوایل درمان و در پی عادت به پلاک های گذاشته شده بر روی دندان بیمار کمی احساس درد و ناراحتی کند.


نتیجه درمان ارتودنسی به چه عواملی بستگی دارد؟

نتیجه درمان شما تا حد زیادی بستگی به ارتباط مناسب شما با دندانپزشک ارتودنسی خود دارد.

درمان ارتودنسی به طور معمول طبق برنامه از قبل تعیین شده پیش می رود و درمانگر شما تمام تلاش خود را برای رسیدن به بهترین نتیجه انجام می دهد.

اثربخشی و موفقیت در درمان به همکاری بیمار در مراجعه به موقع وی در زمان ویزیت، رعایت بهداشت دهان و دندان، جلوگیری از شکستن وجدا شدن پلاک های ارتودنسی و دنبال کردن  دستور العمل پزشک هم بستگی دارد. اما ارتباط مناسب بین شما و دندانپزشک ارتودنسی و هدف از ارتودنسی بسیار مهم است.


نتایج من بعد از درمان ارتودنسی چقدر ماندگارخواهد بود؟

اگر نگهدارنده خود را مطابق دستورالعمل استفاده کنید، نتایج شما باید تا پایان عمر باقی بماند. با این حال، اگر استفاده از نگهدارنده خود را متوقف کنید، دندان‌های شما ممکن است به مرور زمان چند درصدی به موقعیت قبلی خود برگردند.

 

یادداشتی از مطب دکتر نبی

بسیاری از افراد زمانی که می خواهند ظاهر لبخند خود را بهبود بخشند به ارتودنسی فکر می کنند. اما درمان ارتودنسی می تواند سلامت و عملکرد دهان را نیز بهبود بخشد. دندانپزشک ارتودنسی طیف وسیعی از درمان ها را بر اساس نیاز شما ارائه می دهد. برای کسب اطلاعات بیشتر و تعیین وقت مشاوره با دکتر نبی با شماره 02188873135 یا 09912806784 تماس بگیرید.

 

0 آیتم ها
تومان 0