info@drnabi.com 02188873135

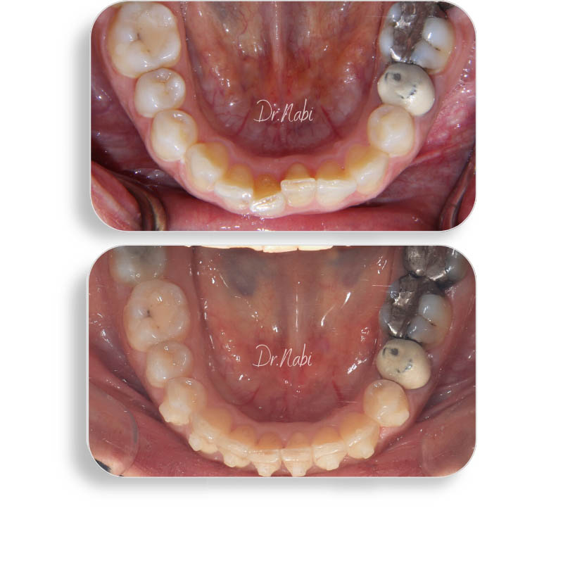
بیمار خانم 37 ساله که به جهت اصلاح نامرتبی فک پایین مراجعه کردند. در حدود 10 ماه با ارتودنسی نامرئی تمامی نامرتبی ها اصلاح شد.

برای آشنایی با انواع ارتودنسی اینجا کلیک کنید

اصلاح نامرتبی فک پایین

نام مشتری
: خانم ن-ص
سرویس
: ارتودنسی نامرئی
تاریخ شروع
: Nov 30, 2020
تاریخ پایان
: Sep 25, 2021
وضعیت
: Completed
0 آیتم ها
تومان 0