ارتودنسی کودکان و اطفال توسط دکتر نبی با هدف تشخیص به موقع، هدایت صحیح رشد فک و پیشگیری از درمانهای پیچیده تر مثل جراحی فک در سنین بالاتر انجام میشه.
بسیاری از شما والدین وقتی اسم ارتودنسی کودکان یا ارتودنسی اطفال رو میشنوین، اولین سوالتون اینه که آیا الان زوده یا دیر؟ و اصلا لازم است فرزندم ارتودنسی انجام بده یا نه؟
تنها راه فهمیدنش، معاینه به موقع در سن 7 سالگی و تشخیص درسته. که اگر مشکلات فکی و دندانی وجود داشت برای درمان اقدام بشه واگر هم مشکلی نباشه که چه بهتر.
واقعیت و هدف درمان ارتودنسی کودکان، صاف کردن دندونها نیست. بلکه یکی از مهمترین اقدامات برای پیشگیری از ناهنجاریهای فکی دندانی بزرگتر در آینده هست. مشکلاتی که اگر به موقع درمان نشن، در سنین بالاتر درمانشون سخت تر، طولانی تر، پرهزینه تر و استرس زا خواهد بود. به همین خاطر یکی دیگه از نامهای ارتودنسی کودکان ارتودنسی پیشگیری هست.
برای مثال کودکی که فک پایینش جلوتر از فک بالا هست، اگه تو سن 7 سالگی درمان نشه تو سن 19 سالگی احتمال زیاد نیاز به جراحی فک داره.
بارها پیش آمده والدین فرزندشون رو برای معاینه آوردن اما به دلیل ناآگاهی از اهمیت به موقع ویزیت ارتودنسی کودکان، زمان طلایی شروع درمان از دست رفته. به همین دلیل توصیه میکنم این مقاله را تا انتها بخونید تا با نکات مهم و فرصتهای طلایی ارتودنسی اطفال آشنا بشین.
برای بررسی اینکه آیا فرزندت نیاز به درمان ارتودنسی اطفال داره یا نه، همین حالا وقت مشاوره با دکتر نبی رزرو کن.
واتساپ
02188873135 - 02188873136 - 09912806784 تماس تلفنی
ارتودنسی پیشگیری یا ارتودنسی اطفال چیست؟
ارتودنسی پیشگیری یعنی قبل از اینکه مشکل جدی بشه، وارد عمل بشیم. این نوع درمان در سنین رشد کمک میکنه مسیر رشد فک و دندون ها به شکل صحیح هدایت بشن.
ارتودنسی پیشگیری زمانی کاربرد دارد که:
- فک کودک به درستی رشد نمیکنه
1- فک بالا جلوتر یا فک پایین عقب تر از حالت طبیعیه (کلاس 2)

2- فک بالا عقب تر یا فک پایین جلوتر از حالت طبیعیه (کلاس 3)



- فضای کافی برای رویش دندون ها وجود نداره

اگر صبر کنیم تا همه دندونهای دائمی رویش پیدا کنن، درمان پیچیده تر میشه. ارتودنسی پیشگیری کودکان در بسیاری از موارد می تونه نیاز به درمانهای سنگین در نوجوانی یا بزرگسالی را کاهش یا حتی حذف کنه.
بهترین سن ویزیت ارتودنسی کودکان
بهترین زمان برای اولین ویزیت ارتودنسی کودکان معمولا بین ۵ تا ۷ سالگیه. حتی اگر دندونها در ظاهر مرتب باشن، معاینه زودهنگام کمک میکنه مشکلات پنهان فکی و دندونی زود تشخیص داده بشه.
تشخیص زودهنگام یعنی درمان ساده تر، کوتاه تر و موثرتر.
چرا همکاری کودک در ارتودنسی کودکان مهم است؟
همکاری کودک یکی از کلیدی ترین عوامل موفقیت در درمان ارتودنسی کودکان است. بیشتر درمان های این سن با پلاک ها و دستگاه های متحرک انجام میشه و استفاده منظم از آنها نتیجه نهایی را تعیین میکنه.
والدین در این مسیر نقش بسیار مهمی دارند.
نکات روانشناسی برای افزایش همکاری کودک
- تشویق مثبت: جایزه کوچک، امتیاز یا برچسب برای هر روز استفاده کامل
- آگاه سازی کودک: توضیح ساده و صمیمی که این وسیله به لبخندش کمک میکنه
- جدیت والدین: پیگیری منظم و یادآوری بدون تنش
- ایجاد روتین مشخص: استفاده در زمان های ثابت روزانه و قبل از خواب
- مراجعه منظم به مطب: این کار اهمیت درمان را برای کودک ملموس میکنه
تجربه ۳۰ ساله دکتر نبی نشان داده وقتی کودک هدف درمان را درک کند و تشویق بشه، همکاری او به شکل چشمگیری افزایش پیدا میکنه.
انواع ارتودنسی کودکان و کاربرد هر کدام
پلاک های آکریلی متحرک در ارتودنسی کودکان
پلاک های آکریلی متحرک یکی از رایج ترین ابزارهای ارتودنسی اطفال هستن. این پلاک ها قابل درآوردن بوده و معمولاً از جنس آکریلیک ساخته میشه.
کاربردها:
- ایجاد فضای کافی برای دندونها
- اصلاح و هدایت رشد فک
- مرتب کردن نامرتبی های خفیف
- اصلاح عادت های دهانی مانند فشار زبان یا مکیدن انگشت
نکات مهم:
- استفاده منظم طبق دستور دندانپزشک ارتودنسی ضروریست
- مراجعه منظم به مطب برای تنظیم پلاک اهمیت زیادی داره
- طبق نظر دکتر نبی، پلاک های متحرک اگر درست استفاده بشه، میتونه جلوی بسیاری از مشکلات بزرگ آینده را بگیره.

دستگاه های فانکشنال و اصلاح رشد فک پایین
دستگاه های فانکشنال برای اصلاح عقب بودن فک پایین (کلاس 2) استفاده میشه و رشد طبیعی فک را به سمت جلو هدایت میکنن.
دکتر نبی همیشه تاکید میکنه وقتی فک پایین عقب است، دندون های جلویی فک بالا در برابر ضربه محافظت نمیشه و خطر آسیب افزایش پیدا میکنه.
مزایای دستگاه فانکشنال:
- بهبود هماهنگی فک ها
- اصلاح نیمرخ صورت
- کاهش نیاز به کشیدن دندون
- کاهش احتمال جراحی فک در آینده
- کاهش ریسک آسیب در ضربه
زمان مناسب شروع درمان فانکشنال معمولا حوالی ۱۲ سالگی و همزمان با شروع اوج رشد فکی ست.

پیچ بازکننده فک بالا (RPE یا هایرکس)
در بسیاری از کودکان، فک بالای باریک یا تنگ دیده میشه که میتونه باعث شلوغی دندونها و حتی مشکلات تنفسی بشه.
پیچ بازکننده فک بالا یا هایرکس یک دستگاه ثابته که روی دندونهای بالا نصب میشه و به تدریج عرض فک بالا را افزایش میده.
مزایای هایرکس:
- ایجاد فضای کافی برای رویش دندونها
- بهبود تنفس
- کاهش احتمال کشیدن دندون
- اصلاح مشکلات جویدن

فیس ماسک؛ درمان عقب بودن فک بالا در کودکان
فیس ماسک برای کودکانی استفاده میشه که فک بالایشان عقب تر از حالت طبیعیه یا فک پایین جلوتر به نظر میرسه (کلاس 3).
این دستگاه متحرک است و اگرچه ظاهر ساده ای نداره، اما تاثیر بسیار موثری دارد:
- جلو آوردن فک بالا
- اصلاح نیمرخ صورت
- کاهش احتمال جراحی فک در آینده
زمان طلایی استفاده از فیس ماسک معمولا بین ۶ تا ۱۰ سالگی ست.

ترکیب فیس ماسک با پیچ بازکننده فک بالا
در برخی موارد، فیس ماسک همراه با پیچ بازکننده فک بالا استفاده میشه تا بیشترین تاثیر روی رشد فک ایجاد بشه.
مزایای این ترکیب:
- افزایش عرض فک بالا
- جلو آوردن فک بالا
- بهبود هماهنگی فک بالا و پایین
- کاهش نیاز به جراحی فک
ارتودنسی ثابت موقت یا سکشنال
ارتودنسی سکشنال یعنی براکت ها (ارتودنسی ثابت) فقط روی چند دندون خاص نصب میشه. این روش زمانی استفاده میشه که اگر مداخله نکنیم، به دندونها آسیب جدی وارد میشه.
کاربردها:
- دندون های بسیار کج
- رویش دندون در مسیر اشتباه
- هدایت یک دندون خاص
مزیت این روش درمان سریع و هدفمنده.

آیا پس از انجام ارتودنسی اطفال ممکن است دوباره ارتودنسی لازم باشد؟
همونطور که گفتم هدف اصلی ارتودنسی کودکان اول پیشگیری و اصلاح ناهنجاریهای فکی-دندانی هست در بعد منظم کردن دندونها. برای مثال جلوگیری از نیاز به جراحی فک یا کشیدن دندون در آینده اولویت اول ارتودنسی اطفاله.
بعد انجام ارتودنسی اطفال ممکن است در سنین نوجوانی یا جوانی نیاز به ارتودنسی، مثل ارتودنسی نامرئی یا ارتودنسی ثابت هم باشه.
هزینه ارتودنسی کودکان؛ چرا درمان زودهنگام مقرون به صرفه تر است؟
یکی از سوالات پرتکرار شما والدین درباره ارتودنسی کودکان، هزینه درمانه. واقعیت اینه که هزینه ارتودنسی کودکان بسته به نوع مشکل، سن کودک و نوع دستگاه درمانی متفاوته و نمیشه برای همه یک عدد ثابت گفت.
اما یک نکته خیلی مهم وجود داره:
درمان زودهنگام معمولا ساده تر، کوتاه تر و کم هزینه تر از درمان در سنین بالاتره.
چه عواملی روی هزینه ارتودنسی کودکان تاثیر می گذارد؟
- نوع درمان پیشگیری (پلاک آکریلی، فانکشنال، فیس ماسک، پیچ بازکننده یا سکشنال)
- شدت ناهنجاری فک یا دندون
- میزان همکاری کودک و خانواده
- طول مدت درمان
- مراجعه منظم به مطب و پیگیری درست درمان
- در بسیاری از موارد، ارتودنسی پیشگیری میتونه:
- جلوی درمانهای پیچیده تر در نوجوانی یا بزرگسالی را بگیره
- نیاز به کشیدن دندون یا جراحی فک رو کاهش بده
به همین دلیل توصیه میکنم به جای به تعویق انداختن درمان، با یک ویزیت ساده ارتودنسی و بررسی مدارک در سن مناسب، مسیر درمانی درست و منطقی فرزندتون مشخص بشه. این کار هم از نظر سلامت کودک و هم از نظر هزینه، به نفع شما ست.
نمونه درمان ارتودنسی کودکان

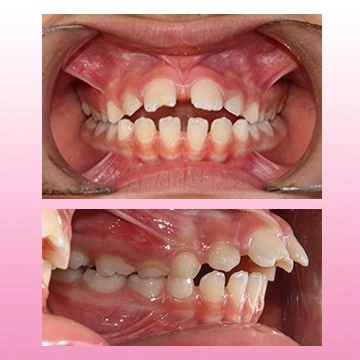
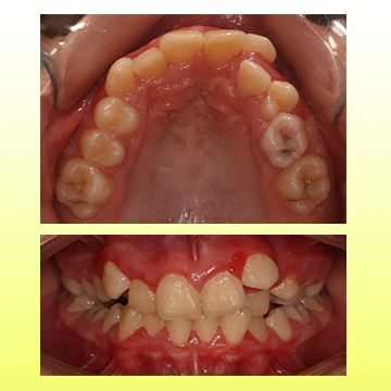
تو سن 12 سالگی با مشکل بیرون زدگی فک بالا و عقب بودن فک پایین مراجعه کرد. تحت درمان فانکشنال، مشکل فک کاملا درمان شد. بعد اون با ارتودنسی ثابت درمانش تکمیل شد.

تو سن 8 سالگی با مشکل بیرون زدگی فک پایین و عقب بودن فک بالا مراجعه کرد. تحت درمان پیچ باز کننده فک بالا و فیس ماسک، مشکل فک کاملا درمان شد. بعد اون با ارتودنسی ثابت درمانش تکمیل شد.
سخنی با والدین
اگر میخواین با کمک دکتر نبی فرزندتون از مشکلات آینده دندون و فک در امان باشه همین امروز وقت ویزیت تعیین کنید و مسیر درمانی مناسب با سن و نیاز فرزندتون رو شروع کنید. با بررسی به موقع میتونیم از مشکلات جدی آینده جلوگیری کنیم و مسیر درمان را ساده تر و مطمئن تر پیش ببریم.
02188873135 - 02188873136 - 09912806784
۵ تا ۷ سالگی برای اولین ویزیت پیشگیرانه.
درمان طولانیتر میشود یا نتیجه مطلوب نمیدهد.
ادامه دار شدن این عادت بعد ۵ سالگی میتواند باعث جلو آمدن دندانهای بالا و اختلال رشد فک پایین شود. معمولا بین دندانهای جلویی حین بستن دهان فاصله ایجاد میکند.
در بسیاری از موارد بله، اگر به موقع انجام شود.
اگر دندانها روی هم افتادهاند، فک جلو یا عقب است، تنفس دهانی دارد یا عادتهای مکیدن انگشت ادامه دار شده، نیاز به معاینه دارد.
نه همیشه. خیلی از مشکلات فکی و رشدی با افتادن دندان شیری خودبهخود اصلاح نمیشوند و اگر منتظر بمانیم، درمان در آینده سختتر میشود.
در کودکان تمرکز روی هدایت رشد فک و پیشگیری است، در نوجوانان درمان اصلاحی و سنگینتر.
ممکن است درمان طولانیتر شود، نیاز به کشیدن دندان ایجاد شود یا حتی به جراحی فک برسد.
توضیح ساده، تشویق مداوم، ایجاد روتین مشخص و مراجعه منظم به مطب تاثیر زیادی دارد.
درمان یا متوقف میشود یا نتیجه مطلوب نمیدهد. همکاری کودک و پیگیری والدین نقش تعیینکننده دارد.
معمولا فقط چند روز اول کمی فشار یا ناراحتی وجود دارد که طبیعی و قابل تحمل است.
بسته به نوع مشکل، درمانهای پیشگیری کوتاهتر از ارتودنسی کامل هستند و بین چند ماه تا حدود یک سال طول میکشند.
در بسیاری از موارد بله. اگر فک به موقع هدایت شود، فضای کافی برای دندانها ایجاد میشود.
در بعضی کودکان بعد از پایان رشد، مرحله دوم درمان سبک لازم است اما درمان زودهنگام شدت آن را خیلی کمتر میکند.
منابع استفاده شده
این مقاله بر اساس گایدلاین ها و منابع علمی معتبر در حوزه ارتودنسی کودکان و ارتودنسی پیشگیری تهیه شده است، از جمله:
American Association of Orthodontists (AAO)
American Journal of Orthodontics and Dentofacial Orthopedics (AJODO)
Proffit – Contemporary Orthodontics
Graber – Orthodontics: Current Principles and Techniques
American Academy of Pediatric Dentistry (AAPD)