info@drnabi.com 02188873135

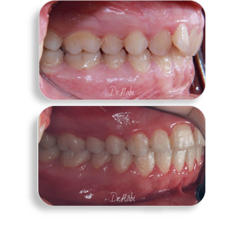
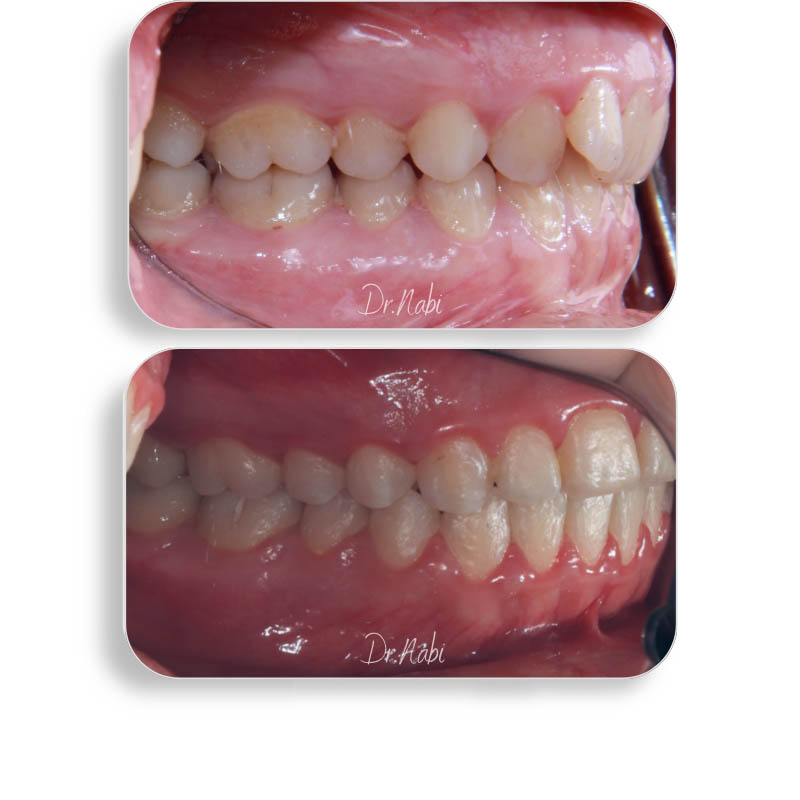
بیمار خانم 20 ساله که به جهت نامرتبی و اوربایت (همپوشانی عمودی بیش از حد فک بالا و پایین) دندانها مراجعه کردند. در کمتر از دو سال به نتیجه ای که ملاحظه می کنید رسیدیم.

برای آشنایی با اطلاعات عمومی ارتودنسی اینجا کلیک کنید

درمان دیپ بایت و کلاس 2

نام مشتری
: خانم ع- ش
سرویس
: ارتودنسی ثابت به روش MBT
تاریخ شروع
: Jan 26, 2020
تاریخ پایان
: Aug 09, 2021
وضعیت
: Completed
0 آیتم ها
تومان 0