info@drnabi.com 02188873135
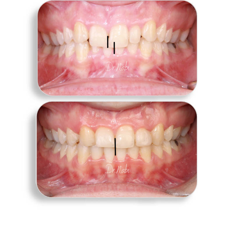
مراجعه کننده عزیز برای اطلاح میدلاین و نامرتبی دندانها در کمتر از 2 سال تحت درمان ارتودنسی ثابت قرار گرفتند. یک سمت دندان شماره دو را به طور مادر زادی نداشتند که قرار بر تغییر شکل دندان نیش به شکل دندان 2 با زیبایی شد و طرف دیگر دندان شماره 2 سایز کوچکی داشت که با ارتودنسی فضا برای بزرگ تر کردن آن در نظر گرفته شد.

اصلاح خط وسط دندانها

نام مشتری
: خانم س-خ
سرویس
: ارتودنسی ثابت به روش MBT
تاریخ شروع
: Feb 10, 2020
تاریخ پایان
: Jan 26, 2022
وضعیت
: Completed
0 آیتم ها
تومان 0