info@drnabi.com 02188873135

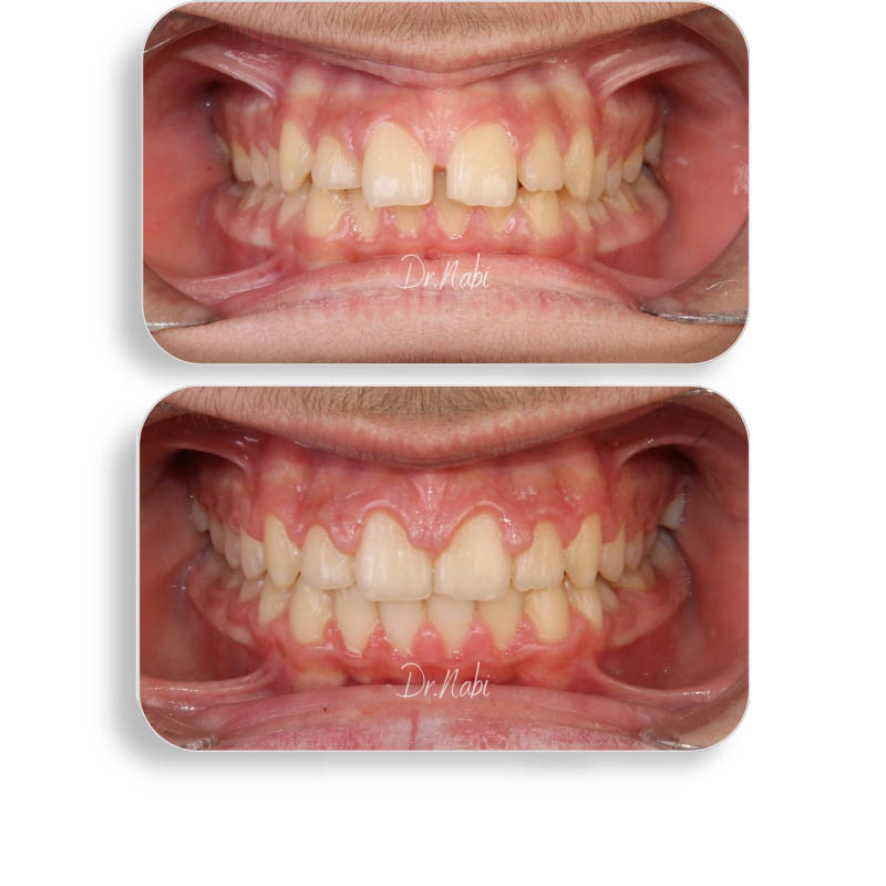
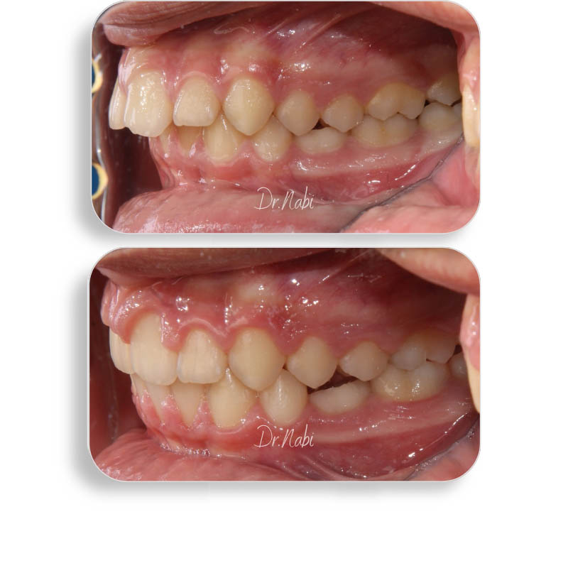
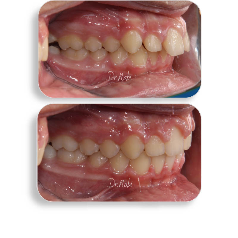
بیمار عزیزمون با شکایت فاصله بین دندانی و شیب دندانهای فک بالا مراجعه کردند. درمان ایشون با ارتودنسی ثابت دو فک 6 ماه طول کشید.

برای کسب اطلاعات بیشتر از اینکه چرا باید ارتودنسی انجام دهیم؟؟ اینجا کلیک کنید




ارتودنسی ثابت

نام مشتری
: آقای آ- ل
سرویس
: ارتودنسی ثابت به روش MBT
تاریخ شروع
: Jul 25, 2023
تاریخ پایان
: Jan 31, 2024
وضعیت
: Completed
0 آیتم ها
تومان 0